ön kafa kaidesi tümör cerrahisi
Ön Kafa Kaidesi Tümör Cerrahisi
Sağlığınız Bizim İçin Değerli! Erken Teşhisle Tedavi Şansını Artırın!
Beyni koruyan ve fonksiyonlarını gerçekleştirmesine katkı sağlayan kafa tabanındaki iyi ve kötü huylu kanser oluşumlarına ileri tıbbi tedavilerle çözüm buluyoruz.
Kafa tabanının ön, orta ya da arka kısmında gelişebilen tümörlerin yerine, yayılım bölgesine, hızına, iyi ve kötü huylu olmasına, hastanın genel sağlık durumuna bağlı olarak yeni nesil tıp teknolojilerinden yararlanarak hassas ve güvenilir operasyonlar gerçekleştiriyoruz. Robotik cerrahiden yararlanarak tedaviden maksimum sonuç alıyoruz.
Uzman ellerde cerrahi müdahaleler ve ameliyat öncesi – sonrası tam destek için Prof. Dr. Serkan Orhan ile tanışın, sağlığınızı koruyun.
Kafa tabanı tümörleri; görme bozuklukları, koku bozuklukları, yüz felçleri, yutma güçlükleri şeklinde görülürken beyin sapını etkilediklerinde kolda ya da bacakta kuvvet kayıpları, duyu bozuklukları, yürüme bozuklukları gibi belirtiler verebiliyor.
Kafa Kaidesi Tümörlerinde Başarılı Sonuçlar!
Sağlığınız Bizim İçin Değerli! Yeni Nesil Tedavi Yöntemleriyle KBB Hastalıklarına Etkin Çözümler!
Kulak, burun, boğaz ve baş boyun hastalıklarının tıbbi ve cerrahi tedavisinde uzman bakış açısı, son teknoloji teşhis ve tedavi yöntemleriyle fark yaratan sonuçlar, kişiselleştirilmiş ve ihtiyaca yönelik çözümlerle hayatınıza değer katıyoruz!
Kişiye Özel Yöntemler
Prof. Dr. K. Serkan Orhan ile tamamen size özel, ihtiyaç ve beklentilerinizi karşılayan, memnuniyet odaklı tedavi yöntemleri.
İleri Teknolojik Tedaviler
KBB tedavilerinde uluslararası standartlar, rejeneratif tıp yöntemleri, güncel metodlar ve tamamlayıcı uygulamalarla hızlı sonuçlar.
Uzmanlık ve İlgi
Tedavi öncesi ve sonrası bilgilendirici, ilgili ve güler yüzlü hasta yaklaşımı, her türlü sorun ve sorularınız için uzman desteği.
Sağlığınızı Önemseyin!
Estetik ve fonksiyonel açıdan sağlığınızı ve psikolojinizi etkileyen durumları göz ardı etmeyin! Şikayetlerinizin altında yatan nedenleri doktorunuzdan öğrenin, erken teşhis ile sağlığınızı koruyun!
Prof. Dr. Serkan Orhan İle Daha Sağlıklı ve Mutlu Bir Hayat!
Kulak cerrahisi, baş boyun kanser cerrahisi, burun cerrahisi ve pediatrik KBB alanlarında uzman, tedavi öncesi ve sonrası profesyonel desteği ve yüksek hasta memnuniyetiyle branşının profesyonel isimlerinden Prof. Dr. Serkan Orhan ile hayatınıza sağlık katın!
Hızlı Randevu
KBB hastalıklarıyla ilgili sorunlarınız için online, whatsapp ve telefon yoluyla randevu imkanı.
Ayrıntılı Teşhis
Gelişmiş tanı yöntemleriyle hastalığın en doğru ve hızlı şekilde tanımının yapılması.
Tedavi Planı
Hastanın genel sağlık durumuna, yaşına ve diğer etmenlere göre tedavi şeklinin oluşturulması.
Modern Tedaviler
Dünya standartlarına uygun, en yeni ve modern yöntemlerle kişiye özel tedavi uygulamaları.
Düzenli Kontroller
Tedavinin etkinliğini ve kalıcılığını arttıran, hastanın genel sağlığının izleneceği düzenli kontroller.
Online Destek
Her türlü soru ve sorularınız için tedavi öncesi ve sonrası 7/24 online uzman hekim danışmanlığı.
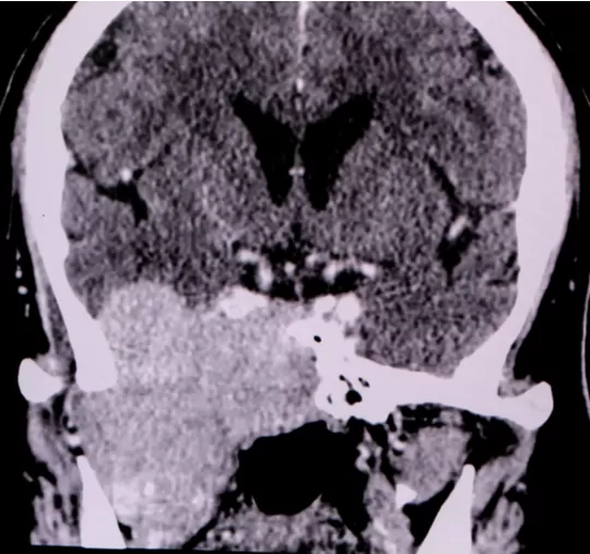
Ön Kafa Kaidesi Tümör Cerrahisinde Modern ve Pratik Teknikler!
20 yılı aşkın deneyim, teknolojik tanı ve tedavi yöntemleriyle KBB Uzmanı Prof. Dr. Serkan Orhan, ön kafa kaidesi tümörlerinde yüksek başarı oranıyla hastalarının hayatına sağlık katıyor. Geç olmadan tedavinizi planlamak için hekiminize danışın…
Randevunuzu Planlayın
Ön kafa kaidesi tümör cerrahisi için randevunuzu asistanlarımızla planlayın.
Doktorunuza Danışın
Hastalığınız hakkında detaylı bilgi alın ve aklınıza takılanları doktorunuza sorun.
Sağlıklı Yaşayın
Hızlı teşhis ve etkili tedavilerle yaşam standartlarınızı ve konforunuzu artırın.
Biliyor Musunuz?
Beyinde 130 tür civarında tümör çeşidi görülmektedir. Meningiyom beyin tümörlerinin de yüzde 15 ile 20’sini oluşturmaktadır. Kafa tabanında kemik ve kıkırdak dokudan çıkan tümörler de bu gruba girmektedir.
Hasta Yorumları
Hiç ummazdım ama böyle bir sorunla karşı karşıya kaldım. Allahtan Prof. Dr. Serkan Orhan ile yolumuz kesişti. Çok umutsuzdum ancak hocam beni o kadar rahatlattı ki ameliyatın iyi geçeceğine inancım tamdı. Şimdi çok sağlıklıyım hepsi Serkan beyin sayesinde. Güvenilir bir hekime tedavi olmak çok başka.
Ön kafa kaidesi tümörü teşhisiyle doktoruma gittim. Çok endişeli olsam da bu endişemi Serkan bey sayesinde aştım. İyileşmem uzun sürse de yaşadığım sürece değdi. İnsanın sağlığı gibisi yok ve bu yolda iyi bir hekim çok önemli. Her türlü sorun için Prof. Dr. Serkan Orhan’a güvenebilirsiniz.
Prof. Dr. Serkan Orhan bey ile kafa tabanı tümörü neticesinde tanıştık. Hastalığım ne kadar kötü olsa da böyle bir hekimi tanımaktan çok mutlu oldum. İşine olan aşkı, profesyonelliği, ilgisi ve güler yüzü daha önce karşılaşmadığım cinsten. Ameliyatım süresince ilgisi için çok teşekkür ederim.
Görmezden Gelmeyin!
Sağlık sorunlarınızı göz ardı etmeyin, tedavi şansınızı arttırın!
Tedavinizi Olun!
Size özel tedaviler ve yöntemlerle kendiniz için en doğrusunu yapın!
Sağlığınızı Yeniden Kazanın!
Şikayetlerinizden kurtulun, kendinizi daha mutlu ve sağlıklı hissedin!
Doktorunuzu Yakından Tanıyın! – Prof. Dr. Serkan Orhan
Prof. Dr. Serkan Orhan’ın klinik ve akademik çalışmalarını, uyguladığı tedavileri, yer aldığı TV programlarını, hasta yaklaşımını ve sosyal hayatını yakından görün; doktorunuzu daha iyi tanıyın.
Tüm videolarımızı görmek için YouTube hesabımızı ziyaret edebilirsiniz: YouTube
Tüm fotoğraflarımız için Instagram hesabımızı ziyaret edebilirsiniz: Instagram
15+
Yıllık Mesleki TecrübeKBB hastalıkları tedavisinde profesyonel kariyer ve deneyim.
80+
Bilimsel MakaleKBB tedavileri ve yaklaşımlarıyla ilgili bilimsel makaleler.
40+
Ulusal ve Uluslararası BildiriYurt içi ve yurt dışı kongre ve konferans bildirileri.
3+
Mesleki ÖdülAlanına yaptığı katkılar ve çalışmalarıyla aldığı ödüller.
Prof. Dr. Serkan Orhan’ın Üye Olduğu Kuruluşlar ve Sertifikaları
Kulak Burun Boğaz Hastalıkları Uzmanı Prof. Dr. Serkan Orhan’ın sertifikalarını, anlaşmalı olduğu kurumları ve referanslarını inceleyin, profesyonel ve deneyimli bir hekimden destek almanın ayrıcalığını yaşayın.
Prof. Dr. Serkan Orhan’ı Instagram’dan Takip Edin!
Prof. Dr. Serkan Orhan’ın tedavi uygulamalarından fotoğrafları, bilimsel çalışmalarından ve sosyal hayatından kareleri görmek için hekiminizi Instagram’dan takip edin. Aklınıza takılanları ve tedavilerle ilgili merak ettiklerinizi doktorunuza danışın…
